Paciente tenía dos kilos de piedras, tapas de botellas y monedas en el estómago
Todo por la ansiedad...
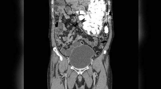
El asiático tuvo que ser intervenido qirúrgicamente. Crédito: (Journal of Medical Case Reports,)
Un hombre que llegó con fuertes dolores abdominales a un hospital de la ciudad de Goyang, en Corea del Sur, tenía dos kilos de piedras, tapas de botellas y monedas en el estómago.
El enfermo, de 57 años, se tragaba los objetos debido a la ansiedad que sufría.
El cirujano Pyong Wha Choi dijo a la revista Journal of Medical Case Reports, que el paciente llegó a mediados de enero hasta la sala de emergencia del centro médico, y, tras realizarle una radiografía se detectó el material en el estómago.
El hombre reconoció que los estuvo ingiriendo durante la última semana por sus ataques de ansiedad.
El asiático tuvo que ser intervenido qirúrgicamente por la gran cantidad de elementos en su estómago.
“La cirugía era inevitable ya que había demasiados cuerpos extraños para extraer mediante endoscopia”, indicó el cirujano a la revista.
