window._taboola = window._taboola || []; var taboola_id = 'mycodeimpremedia-network'; _taboola.push({article:'auto'}); !function (e, f, u, i) { if (!document.getElementById(i)){ e.async = 1; e.src = u; e.id = i; f.parentNode.insertBefore(e, f); } }(document.createElement('script'), document.getElementsByTagName('script')[0], '//cdn.taboola.com/libtrc/'+ taboola_id +'/loader.js', 'tb_loader_script'); if(window.performance && typeof window.performance.mark == 'function') {window.performance.mark('tbl_ic');}

¿Qué es la enfermedad periodontal y cuáles son sus causas para la salud bucal?

La caída de tu dentadura, puede ocurrir no solo por el avance de la edad

shutterstock_1202482423

Crédito: shutterstock.com

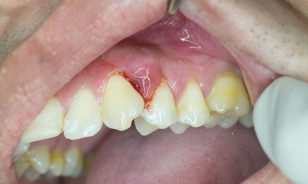
La enfermedad periodontal es una afección en las encías, que en su última etapa, puede disolver el hueso que mantiene a los dientes en su lugar.

No suele presentar síntomas, por lo que es una enfermedad silenciosa que en muchas ocasiones se detecta muy avanzada. Sin embargo, existen algunos indicios que pueden indicarte si tienes esta enfermedad:

  • Encías rojas, inflamadas y suaves.
  • Sangrado al cepillarte.
  • Dientes flojos o separados.
  • Encías alejadas de los dientes.
  • Mal aliento persistente.

El sarro, placa bacteriana entre los dientes, si se acumula demasiado se convierte en arenilla dura, llena de bacterias, que se esparce a la encía y la infecta. Esto se conoce como gingivitis, la forma más leve de la enfermedad periodontal.

Cuando este proceso avanza, se forman bolsas periodontales entre la encía y los dientes, que afectan al hueso maxilar, encargado de sujetar los dientes. Aquí ya se convierte en periodontitis leve, segunda etapa de la enfermedad.

En su punto más avanzado, el hueso maxilar termina de disolverse, quedando los dientes sin soporte para sostenerse, sufriendo inicialmente movimiento o separación entre ellos, para luego caerse. Esta etapa se conoce como periodontitis moderada a avanzada.

Cabe destacar, que la encía también sufre cambios: se aleja de los dientes, creando una hendidura. Y si los dientes no se caen por sí mismo, de igual forma deben ser extraídos, por no tener cimiento para mantenerse.

Todo esto significa que la enfermedad periodontal es mortal para nuestra dentadura. Por eso es tan importante acudir al dentista con frecuencia, mantener una higiene bucal completa y hasta dejar de fumar.

Entre los tratamientos posibles, existe la limpieza profunda (raspado o alisado radicular) para eliminar la placa, en la etapa de la gingivitis. Esto eliminará el sarro y suavizará la encía, para que se desinflame.

Y Para las bolsas periodontales existen medicamentos antibacterianos. Mientras que en la etapa avanzada, el paciente puede necesitar implantes de hueso artificial. Y para sustituir los dientes, necesitará prótesis dentales.

En esta nota

dientes enfermedad periodontal odontología Salud
Contenido Patrocinado