window._taboola = window._taboola || []; var taboola_id = 'mycodeimpremedia-network'; _taboola.push({article:'auto'}); !function (e, f, u, i) { if (!document.getElementById(i)){ e.async = 1; e.src = u; e.id = i; f.parentNode.insertBefore(e, f); } }(document.createElement('script'), document.getElementsByTagName('script')[0], '//cdn.taboola.com/libtrc/'+ taboola_id +'/loader.js', 'tb_loader_script'); if(window.performance && typeof window.performance.mark == 'function') {window.performance.mark('tbl_ic');}

El hombre que perdió su dentadura postiza en una cirugía y la encontraron 8 días después en su laringe

Cuando un británico de 72 años regresó al hospital una semana después de que le hicieran una cirugía de abdomen, los médicos miraron su garganta y encontraron una sorpresa sobre sus cuerdas vocales

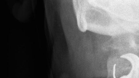
Los médicos encontraron la dentadura postiza del hombre en su laringe más de una semana después de operarlo.

Los médicos encontraron la dentadura postiza del hombre en su laringe más de una semana después de operarlo. Crédito: BMJ Case Reports 2019

Seis días después de que le realizaran una operación abdominal, un hombre británico de 72 años estaba de vuelta en el hospital.

Tras la cirugía, notaba que tenía dificultad para respirar. A medida que pasaba el tiempo se sintió peor, hasta que tosió sangre y decidió regresar a la consulta médica.

En la sala de emergencia contó que no había podido comer alimentos sólidos tras la operación y que no se sentía bien.

Los médicos del Hospital Universitario James Paget en Norfolk, en el este de Inglaterra, creyeron que se trataba de una infección respiratoria y de efectos secundarios por haber estado entubado durante la cirugía. Así que le recetaron antibióticos y esteroides.

Cuando el hombre regresó nuevamente dos días después, los médicos revisaron su garganta y fue entonces que encontraron un objeto semicircular sobre sus cuerdas vocales.

La incertidumbre de un inicio dio paso al desconcierto.

Y todo empezó a cobrar sentido cuando el hombre les contó que había perdido su dentadura postiza durante su operación.

James Paget University Hospital
El Hospital Universitario James Paget está ubicado en Norfolk, en el este de Inglaterra. (Foto: BBC)

La operación

Aunque el caso tuvo lugar en 2008, se conoció esta semana tras la publicación de un artículo en la revista BMJ Case Reports, en la que los autores recomiendan que se extraigan los dientes postizos antes de la anestesia general.

Una vez que que le hallaron el objeto en la laringe, ocho días después de la primera operación, el paciente tuvo que ser intervenido nuevamente para remover la dentadura postiza de su cuerpo.

Cuando los cirujanos cauterizaron la herida en su garganta, había perdido tanta sangre que necesitó una transfusión.

Fue dado de alta poco después, pero su odisea médica no terminó ahí: tuvo que regresar de nuevo en otras cuatro ocasiones con hemorragias.

Según los autores del informe, existen reportes documentados de otros casos de prótesis dentales que se ingirieron de manera accidental durante la anestesia general.

La presencia de dientes postizos o aparatos dentales debe registrarse antes y después de las cirugías, agregaron los especialistas.

Hazel Stuart, director médico del hospital, afirmó que se había llevado a cabo una investigación completa sobre el caso.

“Como resultado de esto, los procesos se han revisado y modificado, según sea necesario, y las lecciones aprendidas se han compartido con el personal”, indicó.


Ahora puedes recibir notificaciones de BBC Mundo. Descarga la nueva versión de nuestra app y actívalas para no perderte nuestro mejor contenido.

https://www.youtube.com/watch?v=SZY7ugs_DvI

https://www.youtube.com/watch?v=dC7xjJ7eIBk

En esta nota

cirugia dentadura Dentadura postiza dientes operación
Contenido Patrocinado